医療法人社団玉川歯科医院

歯科医院は兵庫県、神戸の医療法人社団玉川歯科医院 | 症例一覧

お問い合わせはこちら

症例一覧

Case List

これまでの症例を一覧にして掲載

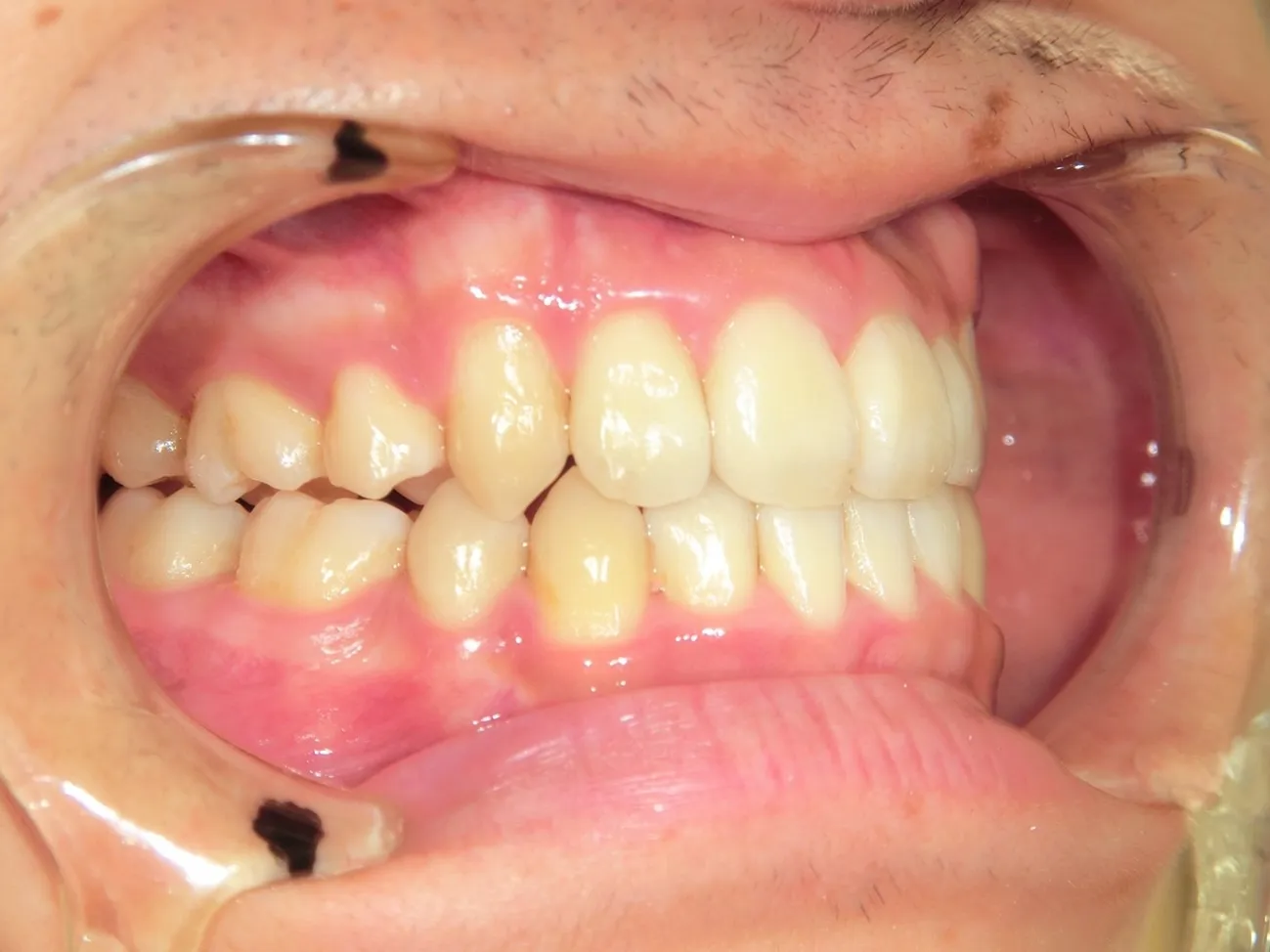
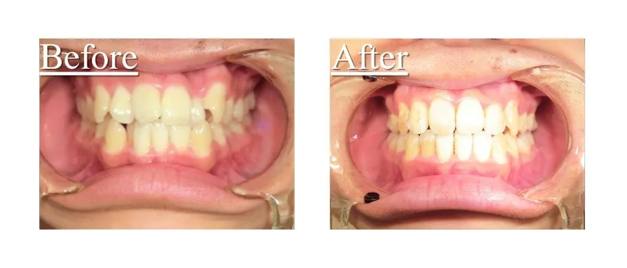
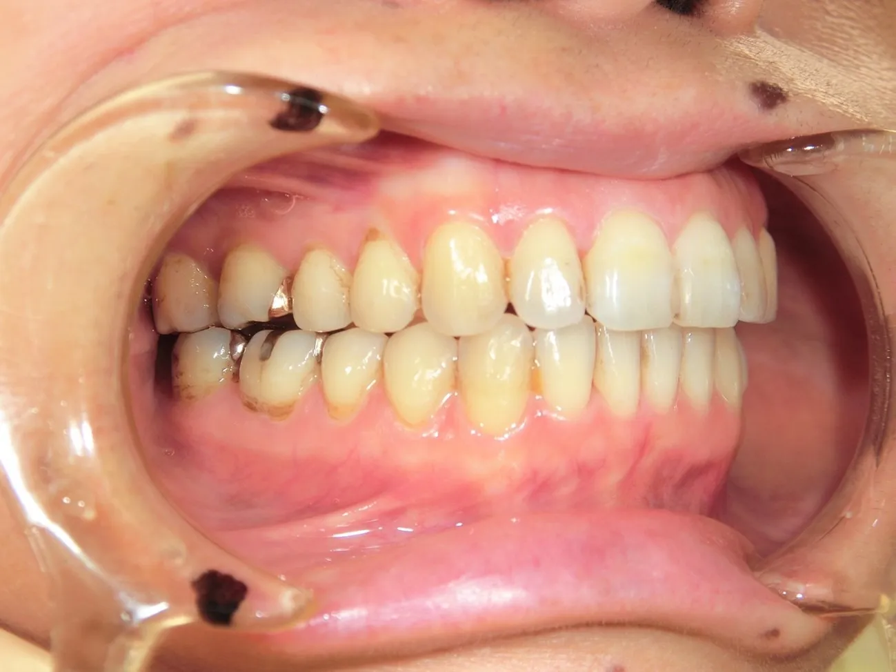
施術を検討されている方に様々なケースの施術前後の違いをご確認いただけるよう、インプラントやインビザラインでの矯正の症例を画像も用いて一覧にして載せております。「ずれている前歯を揃えたい」「受け口を直したい」「抜けた歯をキレイに整えたい」など、様々なご相談を承り、ご予算や仕上がりのご要望はもちろんのこと、長期的な口腔の健康維持も考慮したプランをご提案いたします。

当店でご利用いただける電子決済のご案内

下記よりお選びいただけます。