症例一覧
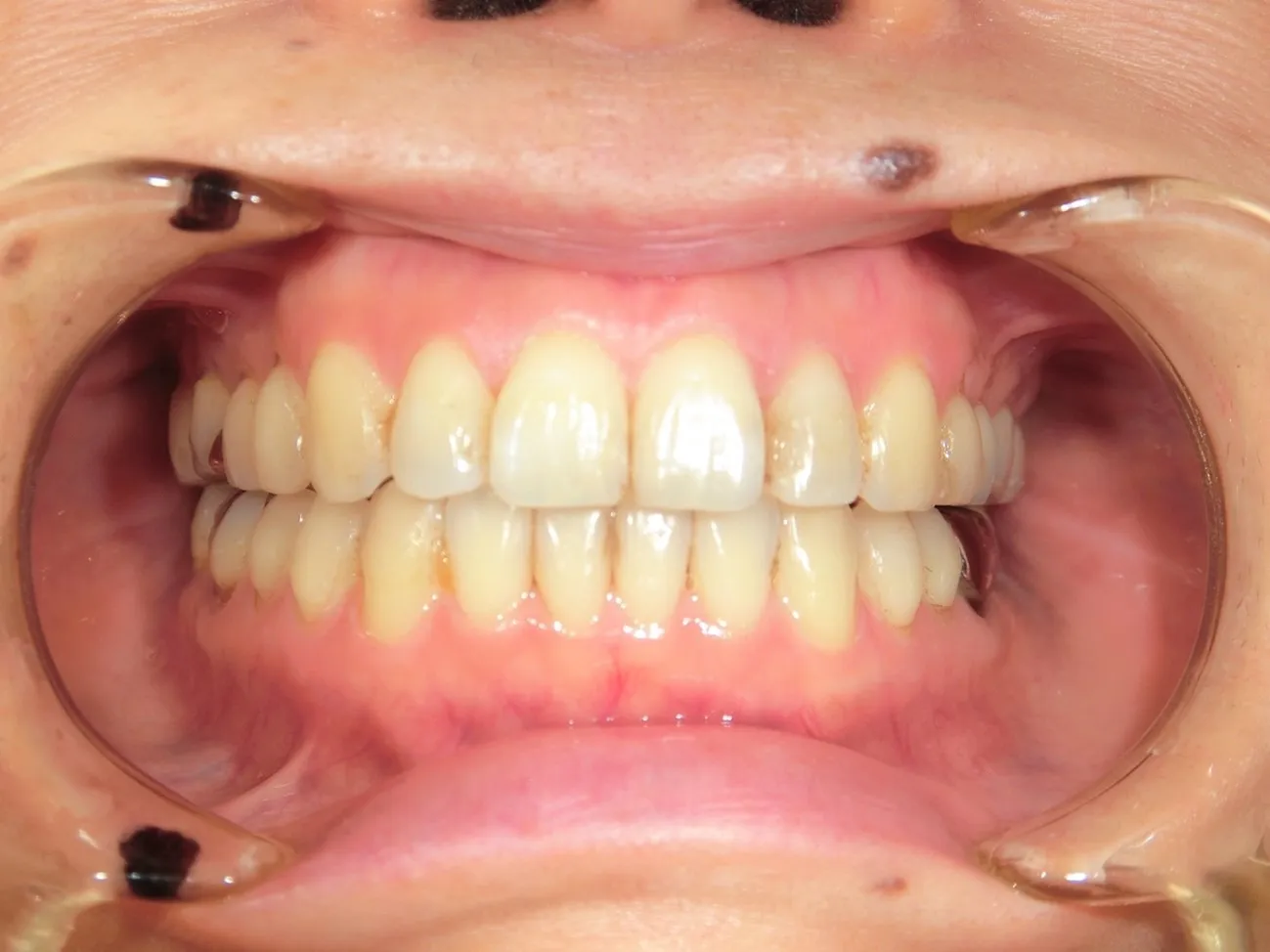
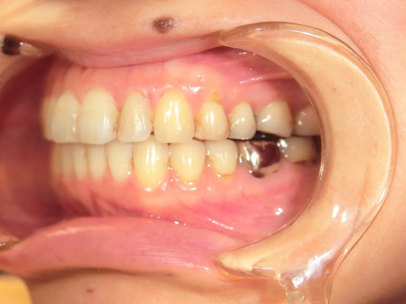
インビザライン症例7
インビザライン症例7
不正咬合:オープンバイト
治療期間:2022.7〜2023.11
費用:792,000円(税込)
年齢:30代
感想
Sさん
矯正治療で、もし今どうしようか迷っておられたら、是非こちらで矯正をされることをおすすめします!私も何年も悩んで、どこにしようかも沢山迷って、こちらに決めました。先生もとても優しく、そして医院の皆様もなんだか家族のように励ましてくれました。長い治療となりましたが満足のいく結果になりました。自分の口元に自信が持てるようになり毎日が明るいです。これからも歯の健康に気をつけていこうと思います。
医院の皆様ありがとうございました!!