症例一覧
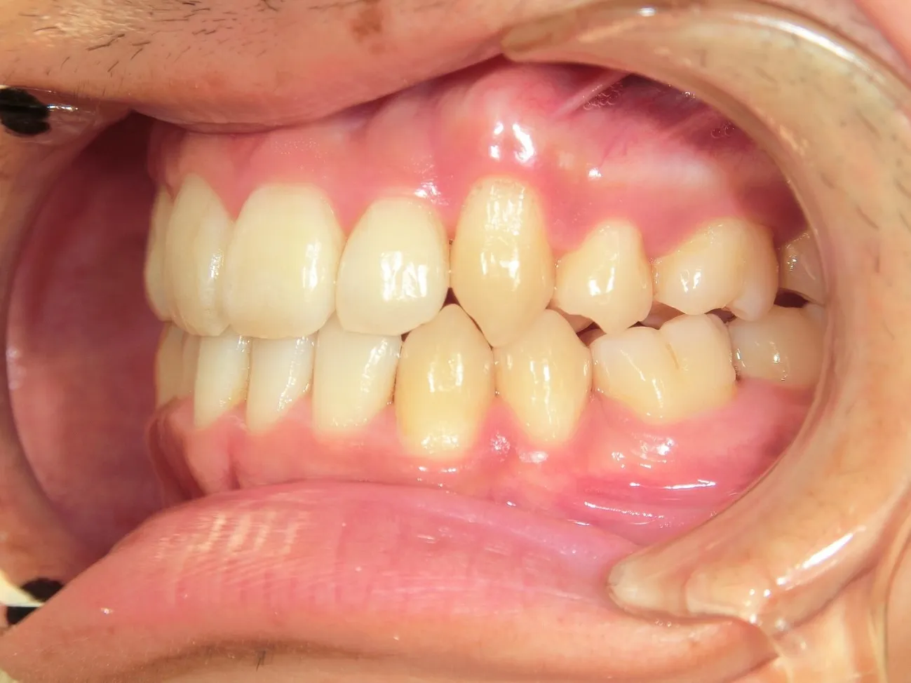
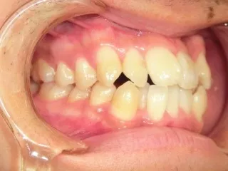
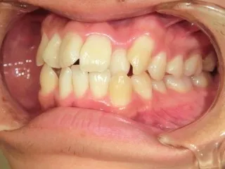
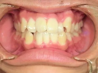
インビザライン症例6
インビザライン症例6
不正咬合:叢生
治療期間:2021.10〜2024.6
費用:792,000円(税込)
年齢:20代
感想
Kさん
子供の頃から悩んでいた歯並びが見違えるように綺麗になりました。固い食べ物も今ではしっかりと噛むことができています。マウスピースのつけ外しや手入れが大変だと思う時期はありましたが、慣れれば難しいと思うことは少なくなりました。矯正治療を悩んで先延ばしにしていたのが勿体無いくらい、早めにしておけば良かったと思っています。自分のなりたい姿を目指して頑張ってください。