症例一覧
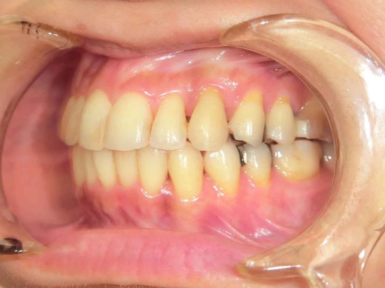
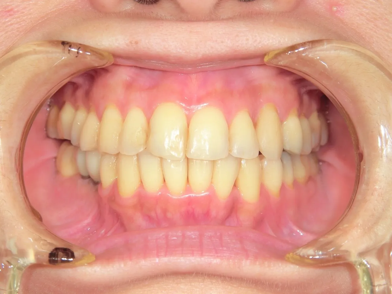
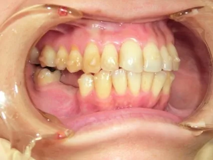
インビザライン症例5
インビザライン症例5
不正咬合:叢生 欠損
年齢:40代
治療期間:2021.5〜2024.1
費用:792,000円(税込)
感想
Kさん
若い頃からコンプレックスの一つでもあった歯並び。
しかし費用も高額だし、矯正器具を装着するのが嫌だなと思っていました。SNSでマウスピース矯正の存在を知り、「これなら良いかも」と前向きな気持ちになりました。ちょうど奥歯の欠損もあり、口内環境を整えることで健康寿命を伸ばしたい!と強く思うようになり、インプラントをするならその前に歯列矯正をしようと思いました。いくつかの医院でカウンセリングを受ける中で、費用もさることながら治療方針の違いも知ることに。
マウスピース矯正だからどこで通っても同じと思っていましたが、他院では「後数本抜歯しなくては無理」と言われたこともあり、医院選びの重要性を痛感しました。最後に診療を受けた玉川歯科医院。先生の実績もあり、スタッフの方達含め、院内の雰囲気がとても良かったので通院を決めました。
治療スタート時は痛い時もあり、マウスピースのつけ外しも一苦労しましたが、頑張った甲斐あり、綺麗な歯並びを手に入れることができました。感動。インプラント治療も一緒にお願いすることになり、同時進行で治療ができたのも良かったなと思います。永いお付き合いになりそうです。これからも宜しくお願いします!