症例一覧
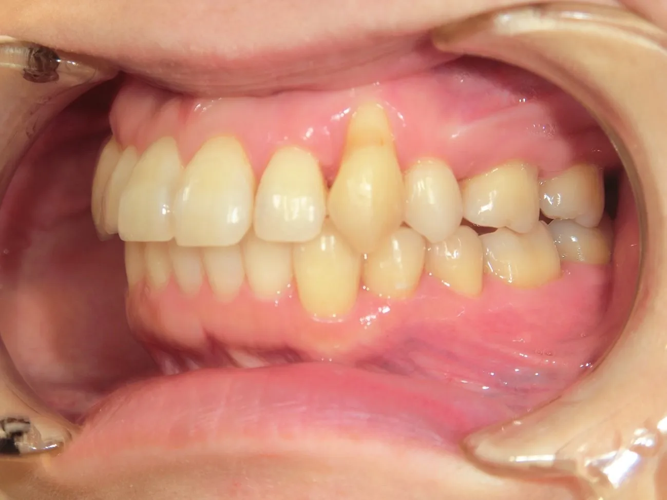
インビザライン症例4
インビザライン症例4
不正咬合:犬歯転位
年齢:30代
治療期間:2023.1〜2024.2
費用:792,000円(税込)
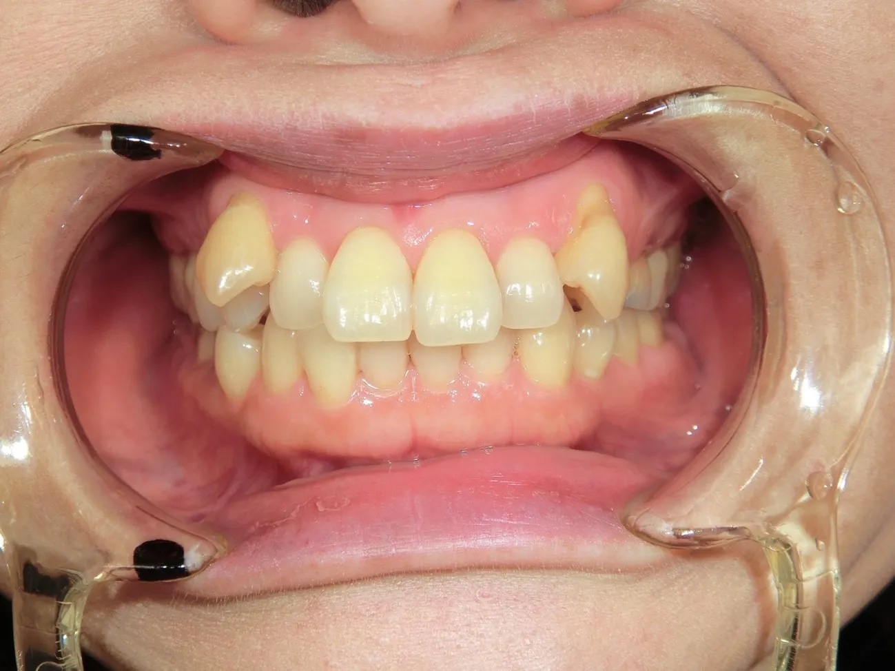
感想
Rさん
長年のコンプレックスが解消されました。
矯正に思い切るのに時間がかかりましたが、思い切って良かったです。普通に笑えるようになりました。
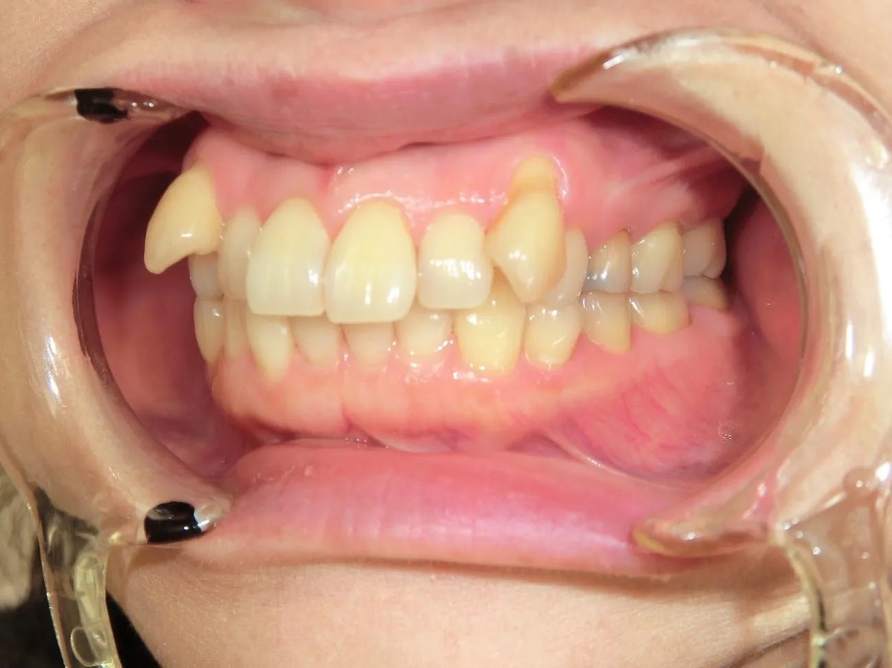
症例一覧
インビザライン症例4
不正咬合:犬歯転位
年齢:30代
治療期間:2023.1〜2024.2
費用:792,000円(税込)
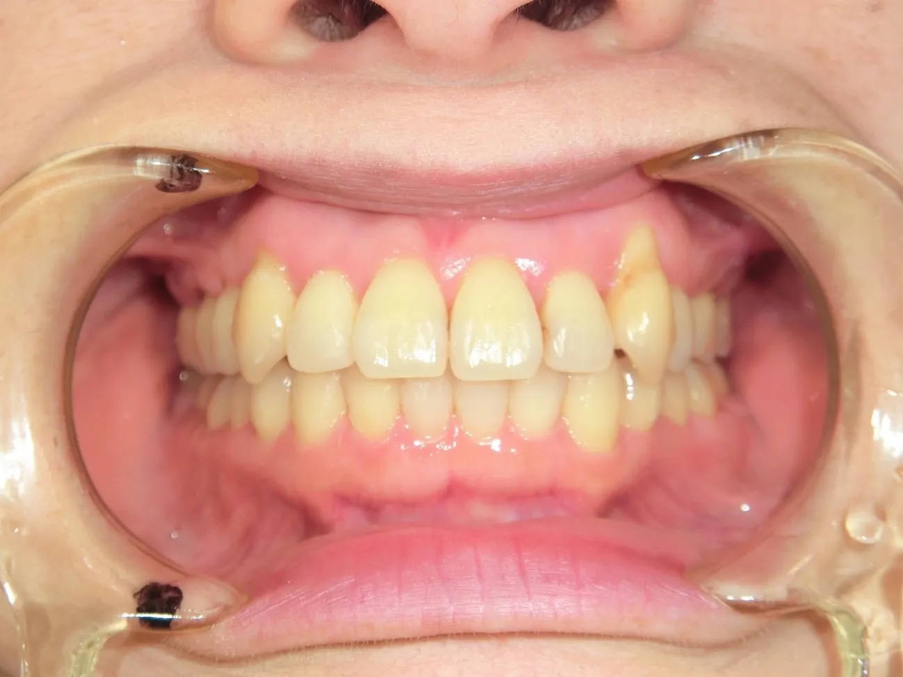
感想
Rさん
長年のコンプレックスが解消されました。
矯正に思い切るのに時間がかかりましたが、思い切って良かったです。普通に笑えるようになりました。
当店でご利用いただける電子決済のご案内
下記よりお選びいただけます。