症例一覧
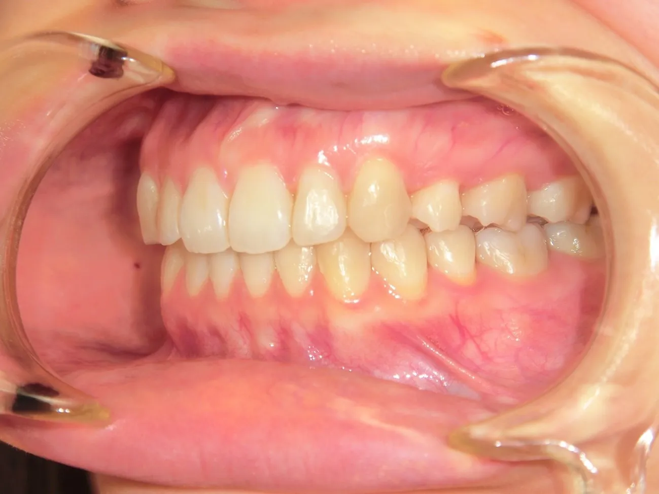
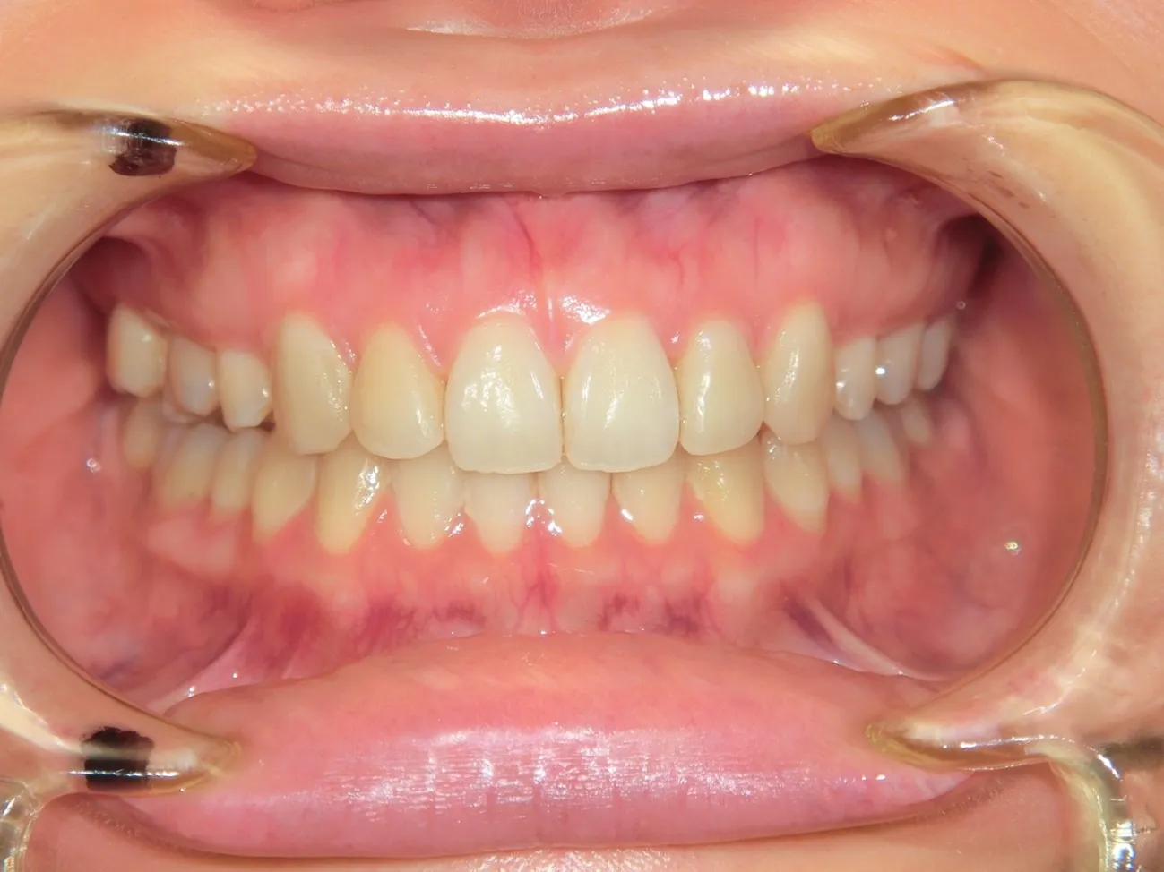
インビザライン症例3
インビザライン症例3
不正咬合:側切歯転位
年齢:20代
治療期間:2022.8〜2024.10
感想
Oさん
小さい頃から歯並びに悩みがありましたが、矯正治療に高いというイメージがあり、中々治療しようと一歩踏み出せずにいました。社会人になり、やはり歯並びについて悩んでいたため、ネットで矯正治療について調べると、こちらのクリニックで安価でできることを知りました。時間がかかる、値段が高いというイメージも実際にお話を聞くと、そんなことなく勇気をだして矯正治療をすることに決めました。
治療後は歯並びについて周りからも褒めてもらうことが多くなり、人前で笑顔で話すことも抵抗がなくなりました。矯正をして本当に良かったです。