症例一覧
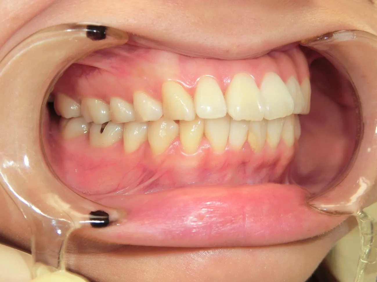
インビザライン症例2
インビザライン症例2
不正咬合:前突咬合
治療期間:2023.2〜2024.3
費用:792,000円(税込)
感想
Nさん
抜歯が初めてで怖かったですが、抜歯も矯正もして良かったと今では大変満足しています。これからの方も頑張ってください。
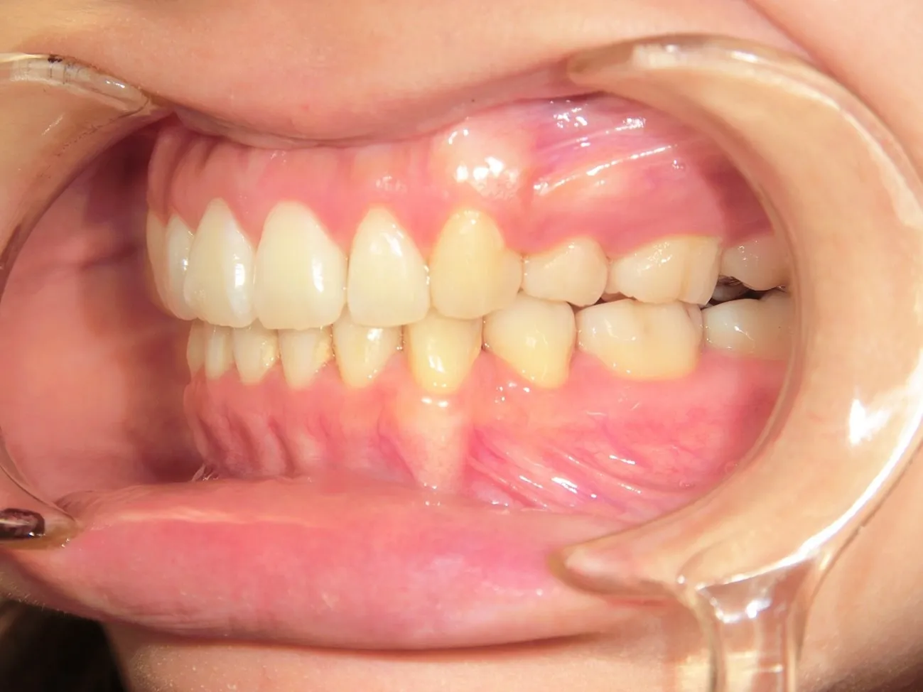
症例一覧
インビザライン症例2
不正咬合:前突咬合
治療期間:2023.2〜2024.3
費用:792,000円(税込)
感想
Nさん
抜歯が初めてで怖かったですが、抜歯も矯正もして良かったと今では大変満足しています。これからの方も頑張ってください。
当店でご利用いただける電子決済のご案内
下記よりお選びいただけます。