インビザライン
2025/09/22
インビザラインとは、透明なマウスピースを使用して歯並びを整える新しいタイプの矯正方法です。金属のワイヤーを使う従来の矯正とは異なり、装着していても目立ちにくいのが大きな魅力です。この記事では、近年多くの方から注目を集めているインビザラインについて、その特徴や魅力を詳しくご紹介します。
こんな方にインビザラインがおすすめです!
インビザラインは、以下のようなお悩みをお持ちの方におすすめの矯正方法です。
矯正中のストレスを少なくしたい方
矯正治療に対して、「痛そう」「お手入れが大変そう」といったイメージをお持ちの方も少なくありません。
しかし、インビザラインなら、快適さと清潔さの両方を兼ね備えた矯正治療が可能です。
従来のワイヤー矯正では、歯を動かす際に強い力がかかり、痛みを感じることがありました。
一方、インビザラインは段階的に少しずつ歯を動かすため、痛みや違和感が軽減されやすいのが特徴です。
また、柔軟性のある素材で作られたマウスピースは、お口の粘膜に当たって傷つける心配もほとんどありません。
さらに、取り外しができるため、食事や歯みがきも普段どおり行うことができ、衛生面でも安心です。
その結果、矯正中に起こりやすい虫歯や歯周病のリスクを抑え、快適に治療を続けることができます。
お仕事や家事で通院の時間が取りにくい方
仕事が忙しい方や、育児などで外出の時間を取りづらい方にとって、通院回数の多い治療は大きな負担になることもあります。
インビザラインは、患者さまご自身でマウスピースを交換しながら進めていく矯正方法のため、ワイヤー矯正に比べて通院の手間が少ないのが特徴です。
慣れてくると、おおよそ2ヵ月に1度の通院で治療を続けることができるため、忙しい方でも無理なく矯正を続けていただけます。
矯正後の歯並びを事前に確認したい方
インビザラインでは、3Dシミュレーションソフト「クリンチェック」を使用して、治療の流れを詳細に設計します。
これにより、歯がどのように動いていくのか、治療後にどんな歯並びになるのかを事前に確認することが可能です。
精度の高いシミュレーションによって、治療の進行や仕上がりをイメージしやすく、安心して矯正をスタートできます。
あらかじめ結果を見て納得したうえで治療を受けたい方におすすめの方法です。
当院のインビザライン治療が選ばれるポイント
当院では、これまでに累計500件を超えるインビザライン治療の実績があります。
多くの患者さまからご支持いただいているのは、安心して治療をお任せいただける理由があるからです。
インビザライン専用スキャナー「iTero(アイテロ)」を導入
当院では、インビザラインと公式に連携している口腔内スキャナー「iTero element(アイテロ エレメント)」を導入しています。
3D光学スキャニング技術により、従来のように印象材を使った型取りを行う必要がなく、短時間で精密なデータを取得することが可能です。
これにより、患者さまの負担を大幅に軽減し、より歯列にぴったり合うマウスピースを作製できます。
さらに、治療前後のシミュレーション精度が高まるため、仕上がりのイメージを事前に確認しながら安心して治療を進められます。
取得したデータはオンラインで送信できるため、治療計画の立案もスムーズに行え、全体の治療期間短縮にもつながります。
安心して始められる適正価格のインビザライン治療
当院では、より多くの方に歯並びの悩みを解消していただけるよう、インビザラインを安心して始められる価格でご提供しています。
また、矯正に関する無料相談も受け付けておりますので、歯並びに関するお悩みやご不明点がありましたら、どうぞお気軽に玉川歯科医院までご相談ください。
噛み合わせの大切さとは
それでは、かみ合わせが悪いと体やお口にどんな影響が出るのでしょうか?
歯が欠ける・割れる
上下の歯が正しく噛み合わないと、特定の歯に過度な力がかかりやすくなります。その結果、歯が割れたり、ぐらついたりするリスクが高まります。
さらに、噛む力が均等に分散されないことで、身体全体のバランスにも影響が及ぶことがあります。かみ合わせの乱れは、お口の健康だけでなく、全身の健康にも関わる重要なポイントなのです。
虫歯・歯周病になる
かみ合わせが乱れていると、歯磨きなどの清掃が行き届きにくくなります。その結果、歯垢が残りやすくなり、虫歯や歯周病のリスクが高まってしまいます。
肩こりや片頭痛が起こる
かみ合わせの乱れは、肩こりや頭痛の原因になることもあります。
無意識のうちに歯に力が入り、必要以上に筋肉を使ってしまうことがその主な理由です。
顎関節症になる
顎をずらして噛む、片側だけで噛むといった噛み癖により、一部の歯や顎に過剰な負担がかかることがあります。その結果、顎関節症を引き起こすこともあるのです。
歯列矯正は審美的な効果が注目されがちですが、正しいかみ合わせを整えることで、肩こりや頭痛などの不定愁訴の改善にもつながる可能性があります。
胃腸に負担がかかる
かみ合わせが乱れていると、食べ物を十分にかみ砕くことが難しくなります。その結果、消化がうまく進まず、胃腸など消化器官に余計な負担がかかってしまうことがあります。
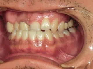
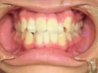
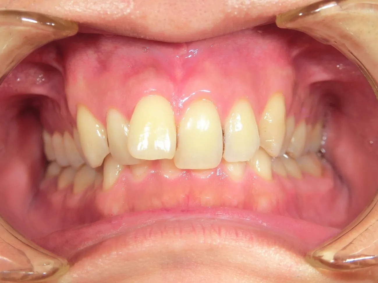
インビザラインで治せる歯並び
歯並びにコンプレックスがあると、「話すときに口元が気になる」「思いっきり笑えない」といったお悩みを抱える方も少なくありません。
インビザラインでは、こうしたお悩みを解消し、理想的な歯並びへと改善することが可能です。
上顎前突(じょうがくぜんとつ)/出っ歯
上の前歯が前方に突き出している状態です。
下顎前突(かがくぜんとつ)/受け口
下の前歯が上の前歯より前に出ている状態です。
空隙歯列(くうげきしれつ)/すきっ歯
歯と歯の間に隙間がある状態です。
叢生(そうせい)/ガタガタした乱ぐい歯
歯が重なり合ったり、ガタガタに生えている状態です。
過蓋咬合(かがいこうごう)
上の歯が下の歯に深く覆いかぶさる状態です。
交叉咬合(こうさこうごう)
上の歯が下の歯より内側に生えている状態です。
開咬(かいこう)
上下の前歯にすき間があり、かみ合わせたときに前歯が噛み合わない状態です。
インビザライン治療を行う際の注意点
インビザラインで矯正治療を行う際には、いくつか注意しておきたいポイントがあります。
以下の内容を守ることで、治療をよりスムーズかつ効果的に進めることができます。
マウスピースの装着時間を守る
インビザラインは、1日20時間以上の装着が基本です。食事や歯磨きの時間を除き、できるだけ長く装着するよう心がけましょう。
装着時間を守らないと、治療期間が延びたり、思い描いた仕上がりにならない可能性があります。
正しい装着を継続することが、治療成功のカギとなります。
マウスピースは指定の交換時期を守る
マウスピースの交換時期を守ることも大切なポイントです。マウスピースは、通常4日~1週間ごとに新しいものに取り替えます。
これは患者さんに行っていただく必要がありますので、決められたスケジュールにそって、交換するようにしましょう。
食事や飲み物の際はマウスピースを外す
飲食の際は、必ずマウスピースを外してください。
熱い飲み物や色の濃い食べ物・飲み物によって、マウスピースが変形したり、着色したりする恐れがあるためです。
なお、水であればマウスピースを外さずに飲むことが可能です。
歯とマウスピースのケアをしっかり行う
マウスピースを装着する前には、必ず歯磨きを行いましょう。
併せて、マウスピースも定期的に洗浄することが大切です。
これにより、虫歯や歯周病のリスクを減らし、口腔内を清潔に保つことができます。
マウスピースを安全に保管するポイント
マウスピースを外した際は、必ず専用のケースに入れて保管しましょう。
高温や直射日光を避け、清潔な状態を保つことが大切です。
奥歯に過度な力をかけないようにする
食事をしていないときは、奥歯が2〜3mmほど浮いているのが正常な状態です。
無意識に奥歯を強くかみしめる癖があると、矯正治療後に「前歯しか噛み合わない」といった状態になるリスクがあります。
そのため、日常的に「奥歯を軽く浮かせる」ことを意識するようにしましょう。
定期的な通院をしっかり行う
インビザラインは通院頻度が比較的少ない矯正治療ですが、定期的なチェックは治療の進み具合を確認するうえで非常に重要です。
予約した日時を守り、忘れずに通院するようにしましょう。
インビザライン料金について
現在春のキャンペーン実施中!
インビザラインフル 847,000円(税込) 726,000円(税込)
----------------------------------------------------------------------
医療法人社団玉川歯科医院
住所 : 兵庫県神戸市中央区北長狭通3丁目7−3
玉川ビル 2階
電話番号 :
078-331-4008
FAX番号 : 078-331-5252
----------------------------------------------------------------------


