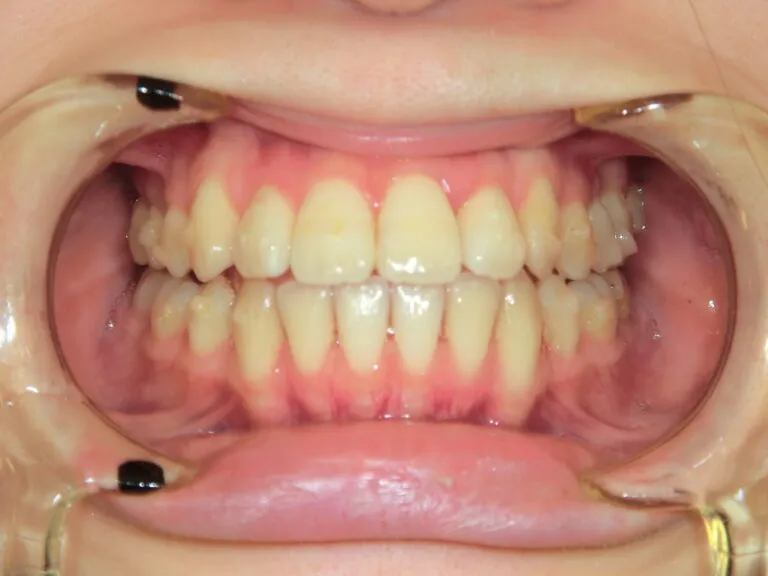
今日はすきっ歯の症例をご紹介!こんにちは!神戸元町 玉川歯科... 2025/12/20 今日はすきっ歯の症例をご紹介!こんにちは!神戸元町玉川歯科医院です 10月になりました!そろそろ紅葉の時期だと思うんですが、暑い日もありますね 今日はインビザラインでの矯正治療後の患者さんの声…
こんにちは!神戸元町 玉川歯科医院です🙂 2025/11/15 こんにちは!神戸元町玉川歯科医院です もう今月も折り返し!11月って毎年時間の流れが早い印象ありますね 今日はインビザラインでの矯正治療後の患者さんの声をご紹介! 「当初は八重歯が外側に出て間…
【神戸市】最新のマウスピース矯正事情 2025/11/05 こんにちは!神戸元町、玉川歯科医院です最新のマウスピースは多種多様あります。インビザラインに限らず、クリアアライナー、エンジェルアライナー、スマーティ、各社それぞれのものが群雄割拠しており…
矯正の勉強会に参加してきました。 2025/10/18 矯正の勉強会に参加してきました。こんにちは!神戸元町玉川歯科医院です 神戸もようやく20度を切る日が続くようになりました。秋を感じますね♀ 先日、矯正の勉強会としてKZ会特別講演に参加させていた…
部分的な矯正について 2025/10/14 部分矯正とは、全体の歯並びを治療する通常の矯正に対して、「前歯1~2本だけ整える」など、気になる部分の歯並びを限定的に整える方法です。歯並び全体を対象とした矯正治療では、治療期間が長く費用も…
今日は開口の症例!こんにちは!神戸元町 玉川歯科医院です🙂 2025/10/11 今日は開口の症例!こんにちは!神戸元町玉川歯科医院です 10月になりました!そろそろ紅葉の時期だと思うんですが、暑い日もありますね 今日はインビザラインでの矯正治療後の患者さんの声をご紹介! …
こんにちは!神戸元町 玉川歯科医院です🙂 2025/10/04 こんにちは!神戸元町玉川歯科医院です 10月になりました!そろそろ紅葉の時期だと思うんですが、暑い日もありますね 今日はインビザラインでの矯正治療後の患者Oさんの生の声をご紹介! 「矯正当初は二…
インビザライン 2025/09/22 インビザラインとは、透明なマウスピースを使用して歯並びを整える新しいタイプの矯正方法です。金属のワイヤーを使う従来の矯正とは異なり、装着していても目立ちにくいのが大きな魅力です。この記事で…
矯正治療①ワイヤー矯正とマウスピース矯正 2025/07/07 こんにちは。玉川歯科医院の玉川誠一と申します。今回は私が矯正治療を学ぶ過程で得た知識を共有する時間にさせてもらえたらと思います。矯正治療は2025年の今となっては二つに大別できるかと思います。 …
オエってなりにくい光学印象 2025/05/12 こんにちは。玉川歯科医院の玉川誠一と申します。 今日は歯の治療の型取りについて話を少ししていこうかと思います。 皆さんは歯の型採りとかやったことはありますか?歯の型採りはピンク色の粘土のよう…
インビザライン矯正で若返った 2024/11/07 インビザライン矯正終了後、前歯の感じ、奥歯の感触をお聞きした後何か以前より若返った感じを受けますが家族や友人は何か言っておられるますかとお尋ねしたら(多くの方に前より若く見えるねと言われま…
インビザライン矯正、抜歯か非抜歯か 2024/10/21 あごが小さくなって歯が重なってきたのですが、重なりが少ない場合は、抜歯なしで きれいな歯並びが可能です。しかし重なりが大きい場合は、抜歯が必要になってきます。この基準に関しては、矯 正後の側…