症例一覧
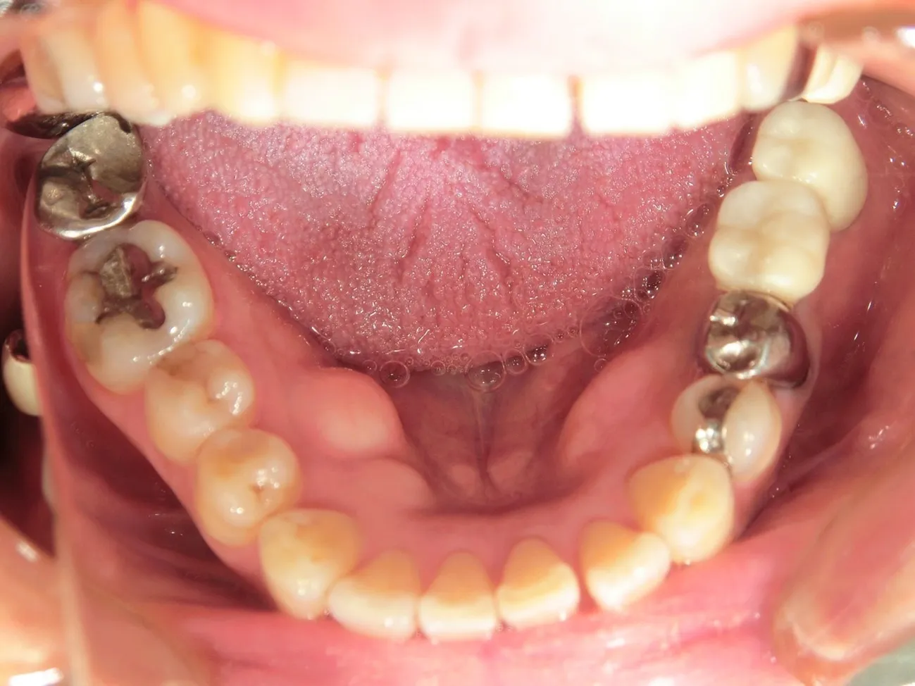
インプラント治療症例6
インプラント治療症例6
治療期間
・平成22年5月 右上大臼歯部プラトンインプラント2本を埋入
左下大臼歯部にプラトンインプラントを2本埋入
・令和6年11月現在、14年が経過しているが、異状なく咬合に参加している。
メンテナンスで4ヶ月に1回来院されています。
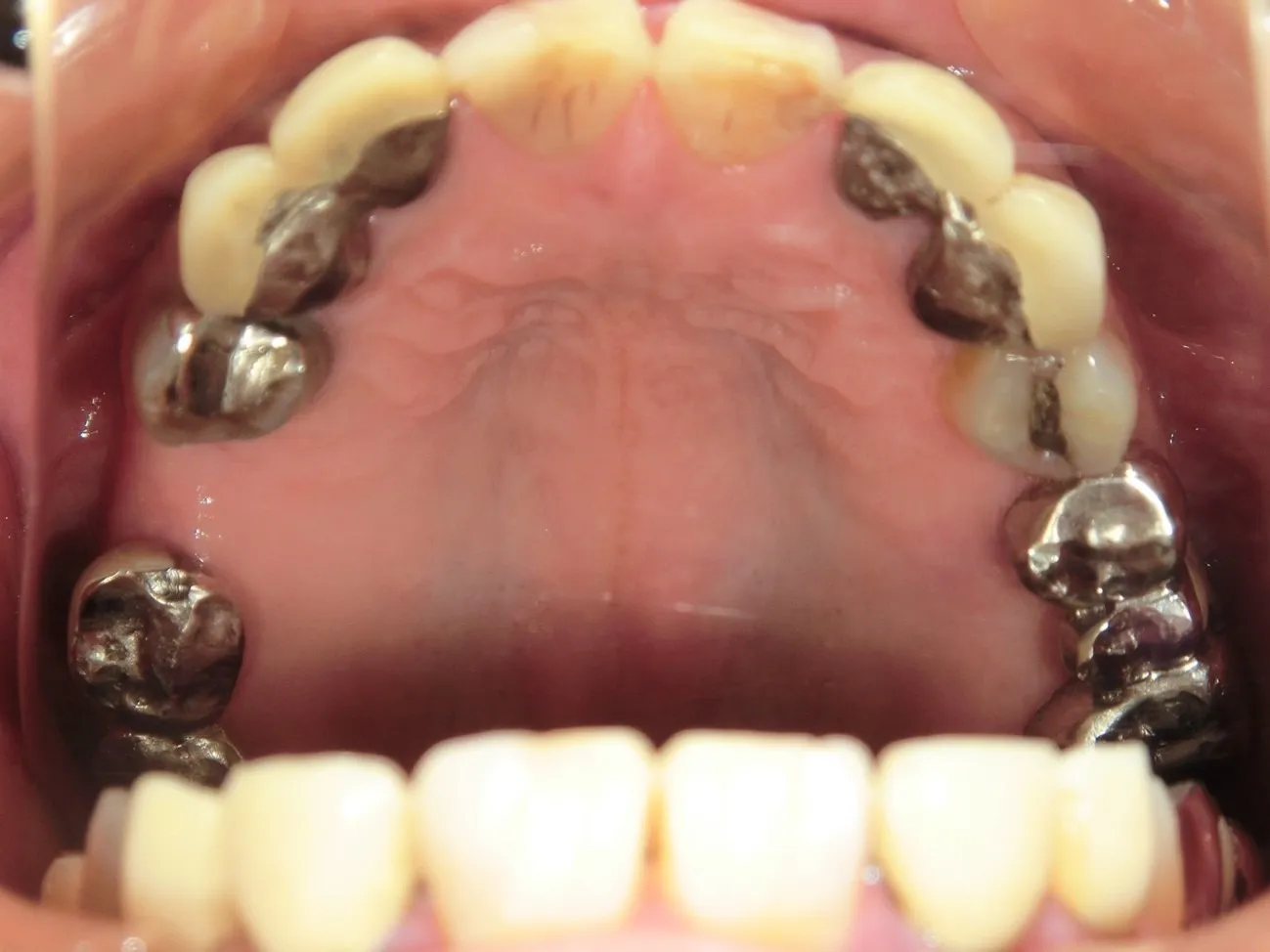
症例一覧
インプラント治療症例6
治療期間
・平成22年5月 右上大臼歯部プラトンインプラント2本を埋入
左下大臼歯部にプラトンインプラントを2本埋入
・令和6年11月現在、14年が経過しているが、異状なく咬合に参加している。
メンテナンスで4ヶ月に1回来院されています。
当店でご利用いただける電子決済のご案内
下記よりお選びいただけます。