症例一覧
インプラント症例7
インプラント症例7
治療期間
・平成21年11月12日右上小臼歯部にプラトンインプラントを2本埋入。
右下2番6番にプラトンインプラントを2本埋入。
左下前歯部臼歯部にプラトンインプラント4本を埋入。
・現在令和6年12月 どのインプラントも骨触に異常は認められない。
4ヶ月毎のメンテナンスは来られています。
症例一覧
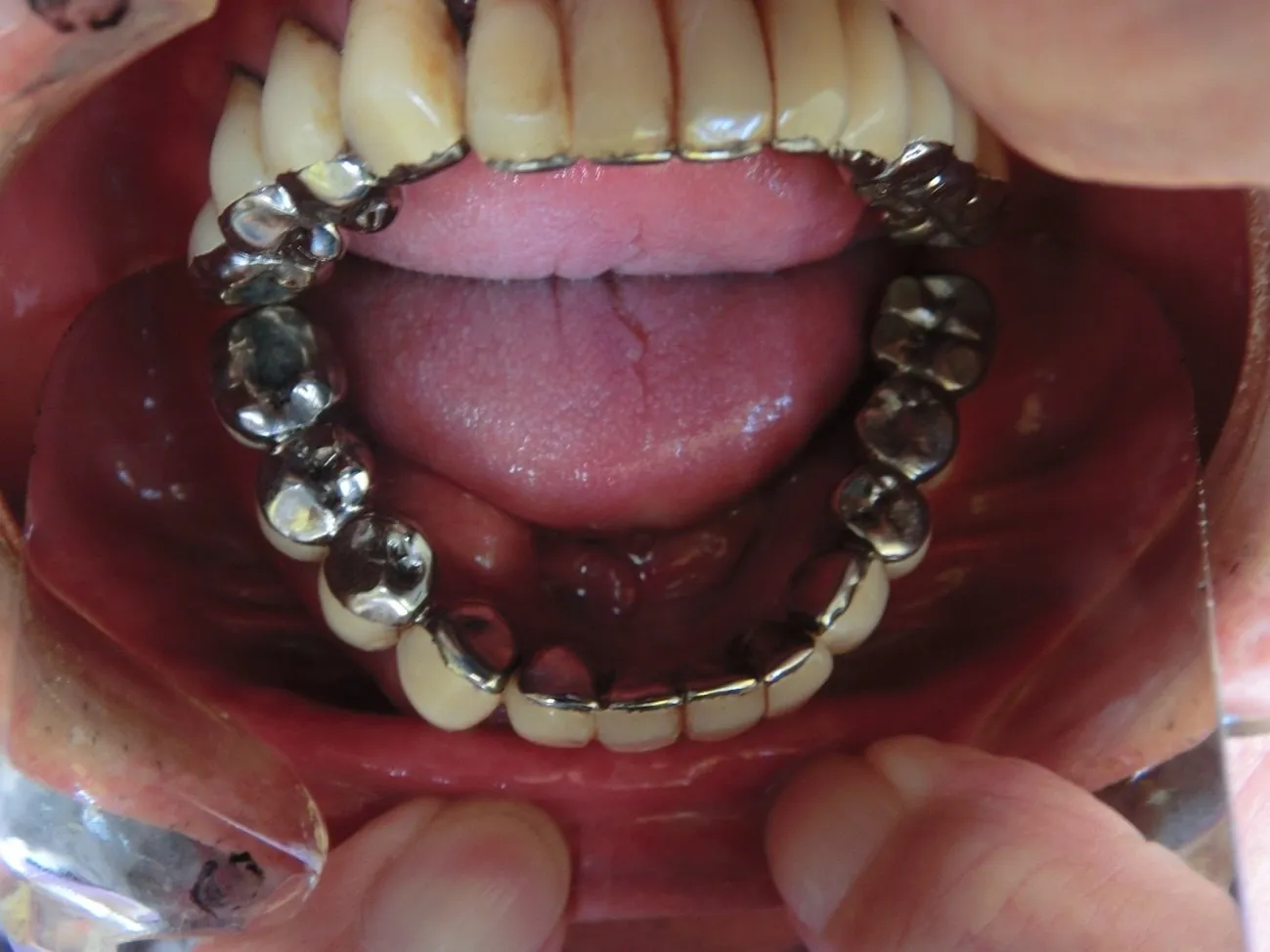
インプラント症例7
治療期間
・平成21年11月12日右上小臼歯部にプラトンインプラントを2本埋入。
右下2番6番にプラトンインプラントを2本埋入。
左下前歯部臼歯部にプラトンインプラント4本を埋入。
・現在令和6年12月 どのインプラントも骨触に異常は認められない。
4ヶ月毎のメンテナンスは来られています。
当店でご利用いただける電子決済のご案内
下記よりお選びいただけます。