抜歯についてご紹介!神戸元町 玉川歯科医院です🙂
2026/04/25
抜歯についてご紹介!神戸元町 玉川歯科医院です🙂
すっかり暖かかくなってきましたね🌸
今日は当院での抜歯の治療風景をご紹介!✨🦷
歯を抜くとはいっても大事なことは診査診断😮
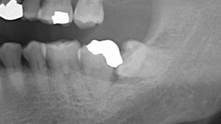
今回は目視で親知らずに虫歯が確認できるほかにレントゲン撮影やCT撮影で歯の方向や不良補綴物をしっかり確認🤩
レントゲンからも手前の歯の詰め物が引っかかっているので、親知らずの円滑な抜歯のためには、手前の歯の詰め物除去が同時に必要なことが分かりました😌
また埋もれている親知らずは、太い神経を近くに通っている可能性があるため、太い神経(下歯槽神経)との距離をしっかり測定して抜歯が安全に行えることや、歯の根の状態や生え方を確認して抜歯の時にどの方向に力を加えるかを事前に確認します🫡
拡大鏡でしっかり確認しながら、詰め物を確実に除去し、へーベルという器具で歯に無理な力を加えずに扱うことで、円滑に抜歯を行うことが出来ました🧐
👉 スワイプして、治療前の親知らずの状態をレントゲンやCT、抜いた後の歯を確認!
💎矯正の無料相談も受け付けております💎
神戸でマウスピース矯正(インビザライン)をするなら
神戸元町 玉川歯科医院 まで
@tamagawadc
⇧
週一程度の頻度で随時更新中📢
他の投稿も是非ご覧になってください🙌
気になる投稿にはいいね・保存お待ちしてます🌷
#神戸歯医者さん #神戸歯科医院 #インビザライン矯正 #マウスピース矯正 #抜歯





