こんにちは!神戸元町 玉川歯科医院です🙂
2025/10/04
こんにちは!神戸元町 玉川歯科医院です🙂
10月になりました!そろそろ紅葉の時期だと思うんですが、暑い日もありますね 😇
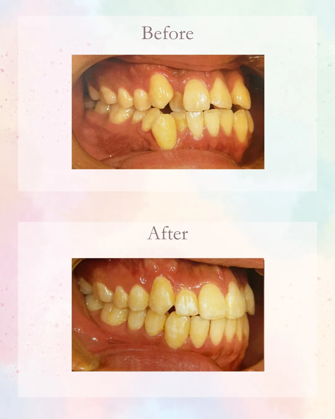
🦷✨ 今日はインビザラインでの矯正治療後の患者Oさんの生の声をご紹介!✨🦷
「矯正当初は二年弱が長いと感じましたが、意外と短く済んで感想しました。自分の悩みであった歯並びも玉川先生、スタッフの方を含め、皆様のおかげで大いに改善されました。ありがとうございました。最初は疑心暗鬼でしたが、信じて続けてきてよかったです。これからは笑顔も増えそうです。これからも一人でも多くの方に笑顔が増えるように頑張ってください。お世話になりました!!」
👉 スワイプして、治療前後での歯の並び方の変化をチェック!
💎矯正の無料相談も受け付けております💎
神戸でマウスピース矯正(インビザライン)をするなら
神戸元町 玉川歯科医院 まで
@tamagawadc
⇧
週一程度の頻度で随時更新中📢
他の投稿も是非ご覧になってください🙌
気になる投稿にはいいね・保存お待ちしてます🌷
#神戸歯医者さん #神戸歯科医院 #インビザライン矯正 #マウスピース矯正 #歯科矯正







