こんにちは。玉川歯科医院の玉川誠一と申します。
前回、歯の神経を残した方がいいという話をしました。
とは言っても、歯の痛みは耐え難いもの。
激痛の歯の痛みに対処する方法として、歯の神経をとるのは有効な手段です。
本日は歯の神経をとる治療、「歯内療法」を当院がどのよう進めてるか紹介させていただきます。

まず大事なことは「診査診断」です。
「左の歯が痛い」だけの患者さんからの問診情報ではどれが原因か把握するのは困難です。
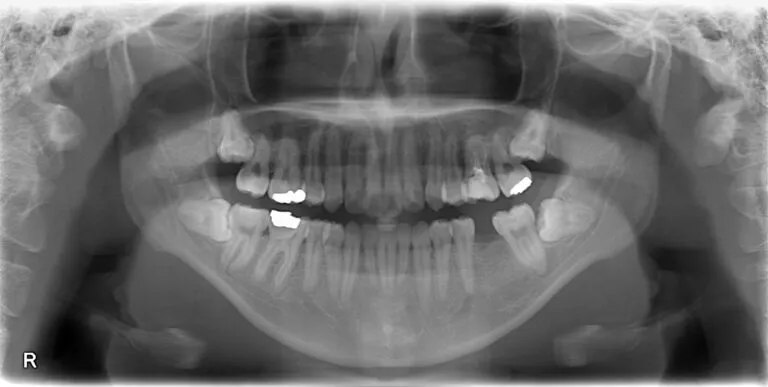
原因の本当に悪い歯はどれなのかの特定のためにレントゲン写真を撮ります。

問診、打診(歯をそれぞれ叩いて痛みがないかの確認)及び、目視とレントゲン所見から左上6番目の歯が原因であると診断できました。
しかしこれだけでは十分ではありません。

画像は模型ですが、大臼歯は根が複数に分かれてるのが視覚的に御理解いただけるかと思います。
非常に専門的な話です。
上顎の第一大臼歯は主の根管が三つあります。ただ手前側の根の管は日本人においては一定の確率で2つ存在しますので合計4つあることが多いのです。
今回のケースも診療途中、目視上では4つ根があるように見えました。

こちらは最初のレントゲン写真をとらせてもらった方のCT写真の断面図になります。
CT写真は最初のレントゲンと違い、三次元的に骨や歯を見ることができます。
画像内で緑で覆ってるものが左上6番目の歯になるのですが、前の方に位置してる根が横に広いものであることが分かります。
目視上では4つ根があるように見えても、実際はそのうち2つの根が融合しており、それゆえ大きい根管になっておりました。ややこしい。

このように歯の形態は個人個人において千差万別であり、一般統計的な解剖学を歯科医師が知っているだけでは不十分です。
根の治療、「歯内療法」においては正確な診査診断のためにCT撮影は必要不可欠ともいえるでしょう。



