症例一覧
インプラント治療症例3
インプラント治療症例3
治療期間
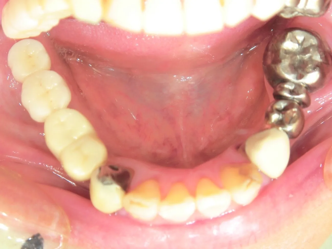
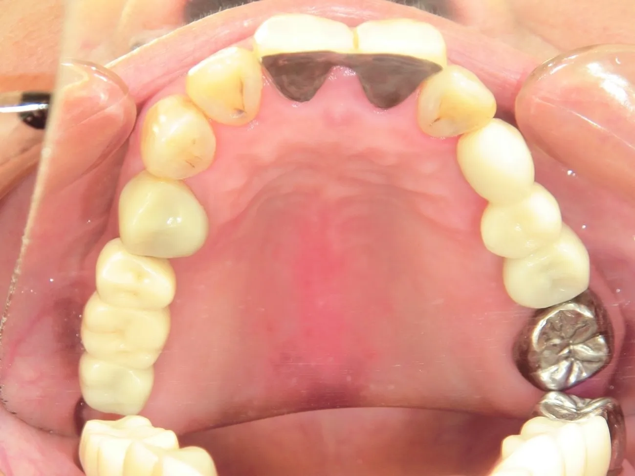
・平成19年12月21日右下小臼歯部に2本大臼歯部に1本カルシテックインプラント(表面HAコーティング)を埋入。
・平成27年9月17日右上第二小臼歯部と第二大臼歯部にプラトンインプラントを埋入。
・平成28年2月29日右下第一小臼歯部にプラトンインプラントを埋入。
・令和4年7月6日左上犬歯第二小臼歯部に2本プラトンインプラントを埋入した。
院長コメント
これらのインプラントはすべて順調に機能しよく噛めるので、食生活は困らないと、評価をいただいています。