症例一覧
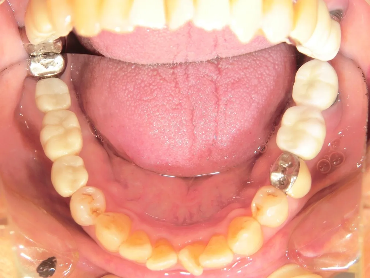
インプラント治療症例5インプラント治療症例5
インプラント治療症例5インプラント治療症例5
治療期間
・平成24年1月16日左下大臼歯部に2本プラトンインプラントを埋入。
・平成24年月13日右下に2本プラトンインプラントを埋入。
・平成24年6月18日右下大臼歯部にプラトンインプラントを埋入。
・令和6年12月現在咀嚼機能に異常なし。
症例一覧
インプラント治療症例5インプラント治療症例5
治療期間
・平成24年1月16日左下大臼歯部に2本プラトンインプラントを埋入。
・平成24年月13日右下に2本プラトンインプラントを埋入。
・平成24年6月18日右下大臼歯部にプラトンインプラントを埋入。
・令和6年12月現在咀嚼機能に異常なし。
当店でご利用いただける電子決済のご案内
下記よりお選びいただけます。