こんにちは。玉川歯科医院の玉川誠一と申します。みなさんは白い歯っていいと思いますか?

多くの人は綺麗になりたい、その一つとして歯を白くしたい。
そういう希望をお持ちの方は決して少なくないかと思います。
今まで歯を白くしたいというご要望の方には当院はホームホワイトニングで対応してきました。

当院採用のホームホワイトニング「NITE ホワイトエクセル」はアメリカで最もポピュラーなホワイトニング材です。
このシステムは日本で初めて認可を受けたホワイトニングシステムでもあります。
主成分は「過酸化尿素」で刺激が少なく、しっかり歯が白くなることも期待できます。
しかし1日2時間を約2週間続ける必要性がある、というのは忙しい皆さんには少し難しいかもしれません。
そういった忙しい方にも対応するため、当院では新しいホワイトニングとして
オフィスホワイトニング「オパールエッセンスBoost」を取り入れました!
オフィスホワイトニングとは

オフィスホワイトニングは医院にて、歯科医師や歯科衛生士が専門的に
行う施術です。オフィスホワイトニングの最大の長所は、
短期間で歯の白さを実感いただける点です。個人差はありますが、
1回の施術約1時間で十分白さを実感いただけることも多いです。

また自分の家でするホームホワイトニングと異なり、白さにもムラが少なく行えることが期待できます。ホワイトニングは歯を綺麗にしてから行うのが重要ですが、オフィスホワイトニングはホワイトニング直前に私たちが歯の掃除を行いますので、より確実な効果を得やすいです。何か問題が起きた場合にも、すぐ対応できますので、安心して施術を受けていただけるかと思います。
このあとは「オパールエッセンスBoost」の特徴について説明していきます。
オパールエッセンスBoostの特徴


「オパールエッセンスBoot」はアメリカ発の薬剤です。
主成分は「過酸化水素」35%。また光照射を必要としないという大きな特徴があります。光を必要としないので、発生する熱を最小限にできます。発熱が最小限になることで、歯や歯の神経に与えるダメージを少なくできます。これによりホワイトニング後の知覚過敏を軽減できます。
当院ではホワイトニング処置後は、無料で知覚過敏の予防措置を行いますので、二重にオフィスホワイトニング後のシみるリスクを少なくします。また「オパールエッセンスBoot」の独自性として20%以上の水分を含有しており、歯が過剰な脱水状態になることを防ぎ、ホワイトニング後の色戻りを防ぎます。また使用直前に薬を混ぜますので、常に新品同然の薬剤としてオフィスホワイトニングを行うことが可能です。
オフィスホワイトニングの難点
「オパールエッセンスBoost」に限った話ではありませんが、オフィスホワイトニングにデメリットはないわけではありません。
- 薬剤の濃度がホームホワイトニングより濃く、施術後シみるなどの症状が出る場合がある。
- 短期間でホワイトニングできるが、ホームホワイトニングと比較して色の後戻りが発生しやすい。
- 元の歯の性質と色合いによっては期待通りにならない場合がある。
- 白くできる度合いにも限度がある。
- 一回の時間が長く、人によっては退屈に感じます。
この点を踏まえて、注意深くホワイトニングをしていただく必要が
あります。またホワイトニング直後は、色素の強い食事を
控えてもらう必要などもあります。注意事項を守っていただき、
明るく白い歯と新しい生活を楽しみましょう!

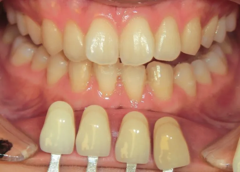
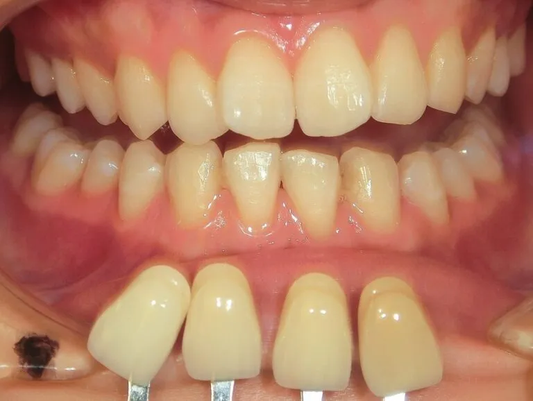
おまけ1:実際にやってみた
←術前 術後→


おまけ2:なぜ玉川歯科医院はアメリカ発のホワイトニングにこだわるか
「NITE ホワイトエクセル」も「オパールエッセンスBoost」もアメリカ発のアメリカで使用されている薬剤です。
これを当院で採用している理由に、アメリカがホワイトニング先進国と呼ばれるほど歯に対する美意識が
高い点です。アメリカでは歯が汚いと生活が乱れている貧しいと考えるほど歯に対する意識は高いそうです。
ドラッグストアでも効果の高いホワイトニング製品が取り扱われるなどが一般販売されています。
そんなホワイトニング先進国アメリカでよく使用されている薬剤が安心だと判断し、当院で使用しております。


